Perkutana termalna ablacija tumora inovativna je metoda terapije onkoloških bolesnika. Riječ je o minimalno invazivnoj tehnici kojom se tumori veličine do 5 centimetara, čak i nekoliko njih - unište toplinskom energijom u svega 10 minuta.
25.04.2021.
07:01
Autor: Zdrav život/HRT/D.M.
Perkutana termalna ablacija tumora inovativna je metoda terapije onkoloških bolesnika. Riječ je o minimalno invazivnoj tehnici kojom se tumori veličine do 5 centimetara, čak i nekoliko njih - unište toplinskom energijom u svega 10 minuta.





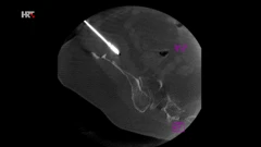
- Osmislio se način kako se precizno, pod kontrolom najčešće CT-a ili ultrazvuka, može iglicom ući u tumor. To može biti u različitim organima – bubregu, jetri, u kostima, čak i u plućima. Nakon što se ta iglica precizno pozicionira u tumor, toplinskom se energijom, laički rečeno - tumor sprži, uništi ga se. Ono što je važno, on ostaje unutra međutim ostaje kao mrtvo tkivo koje više ne predstavlja opasnost, kaže Luka Novosel, spec. radiologije iz KBC-a 'Sestre milosrdnice'.
Primjena ovakvih inovativnih metoda, osim edukacije liječnika, zahtijeva i korištenje suvremenih medicinskih uređaja i alata. Postupak se provodi iglom koja na vrhu, u zadnjih 2 cm - stvara različite vrste energije. U zadnje vrijeme koristimo mikrovalnu energiju kojom se potiče molekule vode u tumoru da se kreću, objašnjava Novosel. Tim trenjem stvara se toplina koja doseže i do 100 stupnjeva Celzijevih. Ona uništava tkivo u krugu od 3-5 cm.
Benefiti za bolesnika i za ustanovu
Metode minimalno invazivne terapije imaju niz prednosti u suvremenom načinu liječenja, kako za samog pacijenta, tako i za zdravstveni sustav u cjelini. Pacijenti u bolnici provode prosječno jedan do maksimalno dva dana. Također, ovom se metodom mogu liječiti onkološki pacijenti koji zbog nekih drugih dijagnoza nisu kandidati za klasičnu operaciju.
- Nekad je za takav zahvat na jetri trebalo bolesnika hospitalizirati, napraviti zahvat u općoj anesteziji, otvoriti abdominalnu šupljinu i napraviti resekciju jetre. Posljedica toga je težak postoperativni tijek i oporavak. Sada rješavanje nekoliko metastatskih sijela može biti riješeno praktički u jednome danu, ambulantno ili uz kratku hospitalizaciju. Veliki su benefiti za bolesnika, a financijski i za samu ustanovu, kaže prof. Ivan Milas, s Klinike za tumore KBC-a 'Sestre milosrdnice'.
Terapija kroničnih bolnih stanja kralježnice
- Zahvat se može korisititi i kokd kroničnih stanja kralježnice. Konkretno, radi se o zahvatu vertebralne ablacije kojega su tek prije par godina u Americi počeli upotrebljavati, a kod nas je nedavno uveden. Radi se u slučajevima gdje nema protruzije diska s pritiskom na živac, nego kronične upale i degeneracije diska koji onda uzrokuje i upalne promjene priležeće kosti u kralješcima. Takva su se stanja rješavala dosta invazivnim operacijama s jako teškim oporavkom. Tako da je ovo zaista inovativna i revolucionarna metoda, objašnjava Luka Novosel.
Tehnike ablacije tumora razvijaju se već neko vrijeme. Napretkom tehnologije i razvojem inovativnih ideja, ovaj oblik liječenja svakim danom ima sve širu primjenu.
- Krenuli smo s radiofrekventnom ablacijom koja se temeljila na stvaranju topline kroz struju. Sada najviše koristimo mikrovalnu ablaciju koja stvara toplinu kroz iritaciju molekula vode. Sad se već razvijaju nove termalne, ali u ovom slučaju i metode hlađenja - tzv. 'krioablacija'. Tijekom 'krioablacije' stvara se kugla leda kojom se može na određenim organima gdje je to povoljnije (pluća, kosti...) uništiti tumor jednako učinkovito i uz manje rizike. Definitivno ova metoda ide naprijed, dodaje Novosel.
Suvremena medicina podrazumijeva multidisciplinaran pristup pacijentu. Na taj je način moguće rješavati i složenije kliničke slike.
- Ako je tumor jako prokrvljen, onda radimo kombinaciju zahvata. Već otprije je poznat zahvat tzv. embolizacije gdje se sitnim česticama začepi krvna žila za tumor i time se onemogućiti njegov daljnji rast ili se barem uspori. Nekad kad je tumor jako prokrvljen, to radimo tako da najprije zatvorimo dotok krvi za tumor, a onda ga još ovom metodom 'spržimo' i dvostrukim učinkom postignemo maksimum , objašnjava Novosel.
Metoda perkutane ablacije tumora postaje sve značajnija i sve se češće uvodi u suvremene smjernice liječenja onkoloških bolesnika.
Vijesti HRT-a pratite na svojim pametnim telefonima i tabletima putem aplikacija za iOS i Android. Pratite nas i na društvenim mrežama Facebook, Twitter, Instagram, TikTok i YouTube!

Autorska prava - HRT © Hrvatska radiotelevizija.
Sva prava pridržana.
hrt.hr nije odgovoran za sadržaje eksternih izvora